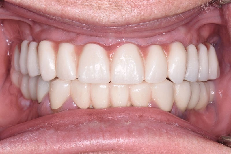
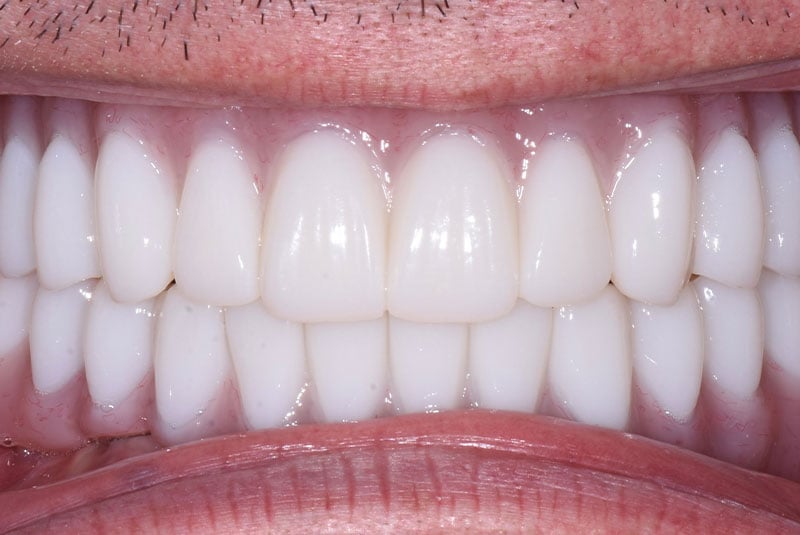
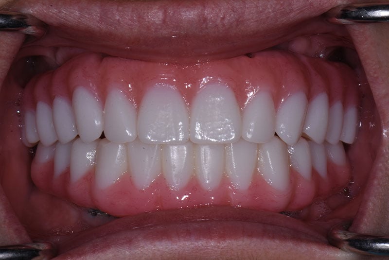
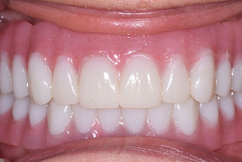
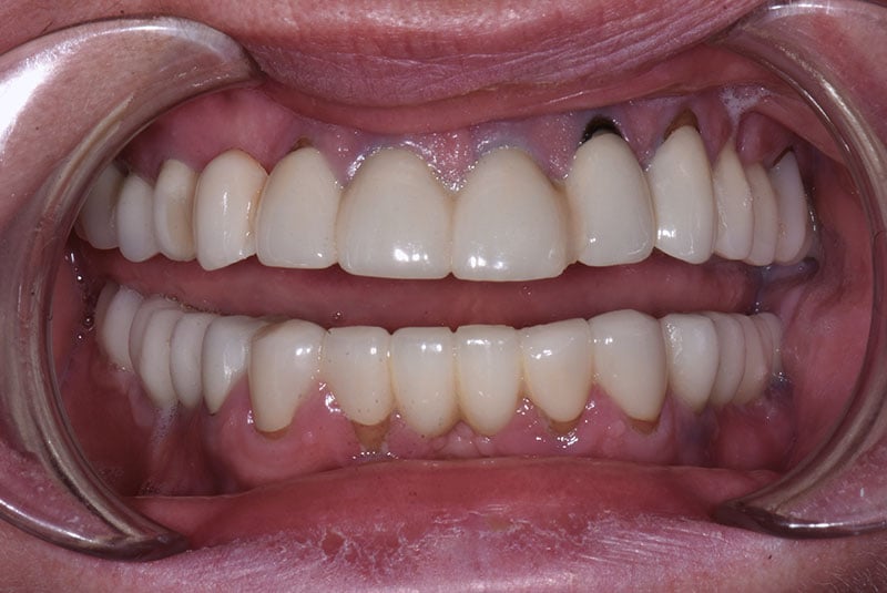
We stand behind our work!
We now offer a Warranty on all Full Mouth Implant Treatments with a permanent zirconia bridge! This gives you peace of mind to know that you are not only getting great value when you move forward with the treatment, but that this treatment will stand the test of time!
*Terms & Conditions Apply*
